Doctor’s Note: Can coronavirus cause permanent damage?
There is evidence that COVID-19 could cause long-term lung and kidney problems.

As the number of people infected by COVID-19, the disease caused by the new coronavirus, worldwide soars past the one million mark, we know the vast majority will make a good recovery.
But now, scientists are looking at the long-term health implications of having had coronavirus and whether or not it can lead to permanent damage to the body.
Recommended Stories
list of 4 items- list 1 of 4Doctor’s Note: Why are young people dying from coronavirus?
- list 2 of 4Doctor’s Note: Can you boost your immune system?
- list 3 of 4Doctor’s Note: Why are older people more vulnerable to COVID-19?
- list 4 of 4Doctor’s Note: Are eye infections a symptom of coronavirus?
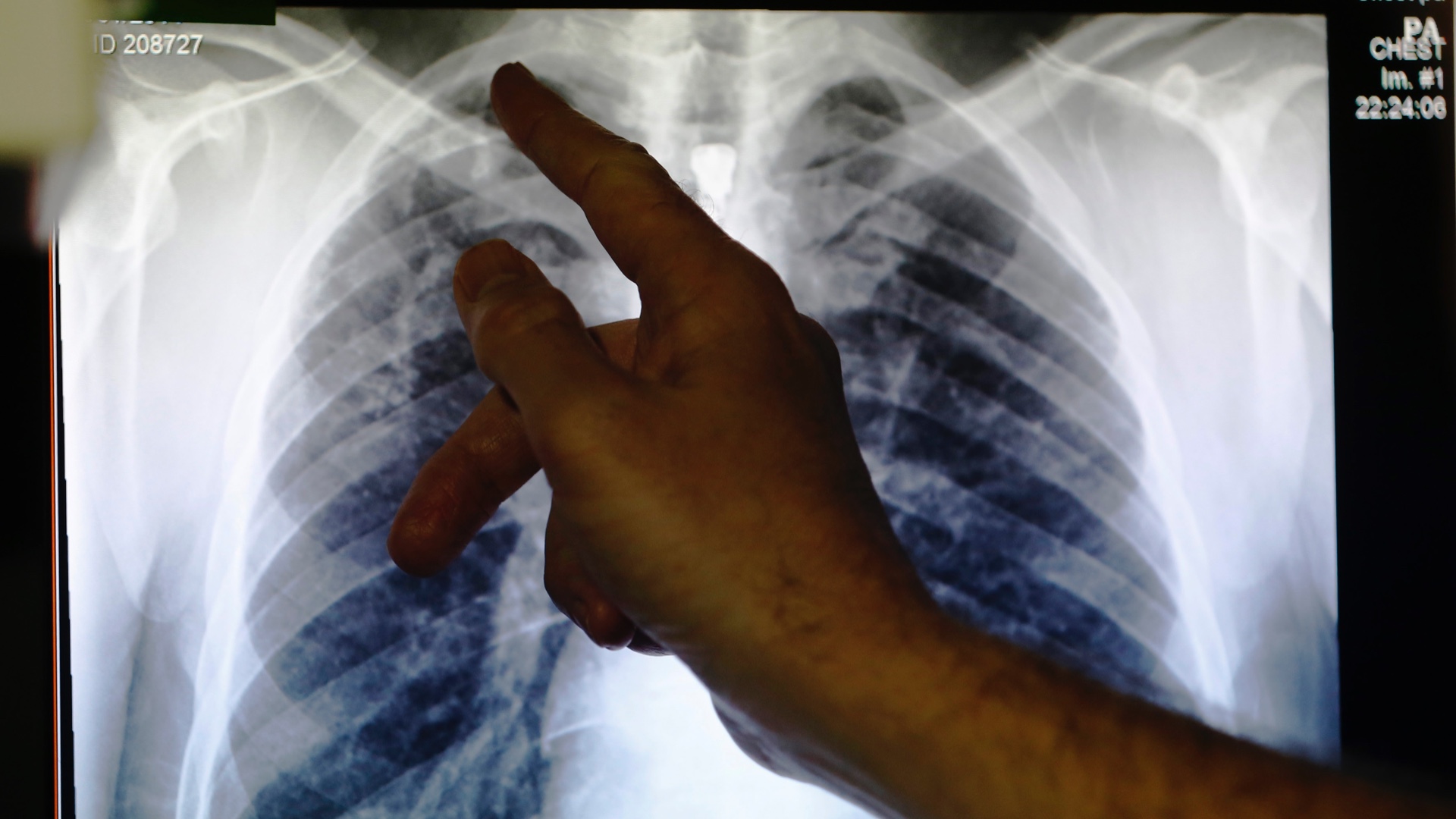
Lungs
It is clear that people with only mild symptoms (usually a dry cough and fever) will make a full recovery without any long-lasting damage to their bodies, but some scientists believe evidence is mounting to show that those on the moderate to severe end of the spectrum (who experience breathing difficulties and pneumonia) may be left with permanent lung damage.
When coronavirus enters the body, it does so via the respiratory tract. Here it behaves like other coronaviruses, such as severe acute respiratory syndrome (SARS), which the World Health Organization (WHO) reported typically attacked the lungs in three phases: Viral replication, immune hyper-reactivity and pulmonary (lung) destruction.
To explain all that; the virus enters the cells along the respiratory tract and takes them over, forcing them to make more copies of the virus. It then works its way down to the lungs where, for some people, it can prove catastrophic.
At this point, COVID-19 can trigger an exaggerated immune response setting off a chain reaction which causes increased inflammation and fluid to fill the lungs. This affects approximately 14 percent of infected people. When this happens, pneumonia sets in as the fluid attracts bacteria as well as the virus itself. Breathing becomes difficult and patients need to be put on a ventilator.
It is this process of excess inflammation brought on by an overreacting immune system that is the biggest danger to the lungs. It can cause irreversible damage to the air sacs on the periphery of the lungs known as alveoli. These are delicate balloon-like structures which fill with air when we take a breath in and allow the oxygen to pass from the lungs into the blood for transportation to the rest of the body. They also help take carbon dioxide away.
The inflammation caused by the body’s immune response to the virus can cause the alveoli to pop, giving the lungs a honeycomb-type appearance, or to harden so they are no longer able to do their job. When this happens, a condition similar to fibrosis or hardening of the lungs occurs.
According to WHO, SARS, a type of coronavirus that behaves similarly to COVID-19, did the same thing to the lungs of those affected by it and led to permanent damage to these people’s ability to breathe normally.
All this would suggest that for a small number of people who are severely affected by the disease, breathing normally may never be the same again and getting short of breath on minimal exertion or requiring medication to help you breathe may become the norm.
Kidneys
It is not just the lungs that healthcare staff need to be vigilant about when treating people with severe cases of COVID-19.
As the infection worsens, a condition known as sepsis or overwhelming infection sets in. This means that lots of organs become affected by the one infection – the kidneys being one example.
The kidneys rely on a balanced blood pressure to maintain the ideal conditions they need to filter a person’s blood.
When sepsis takes hold, there is a danger that blood vessels throughout the body will dilate (get wider) in response to the infection and pressure within them will fall.
This sudden drop in pressure stops the kidneys from receiving the flow of blood at the right pressure they need to do their complex set of jobs. Their sensitive cells can die off very quickly, leading to permanent kidney damage.
It is vital that doctors maintain a careful balance of fluid and pressure to the kidneys while not overloading the lungs with even more fluid at the same time. People who are lucky enough to survive a severe case of COVID-19 will need to have their kidney function monitored carefully through blood and urine tests to check for permanent damage.
COVID-19 is still a new disease and scientists are learning new things about it every day.
Only time will tell whether there may be even more widespread damage to the body after it has shed the virus as infections rarely show their full hand of cards immediately.
